our patient Ana T.

Patients – Dentorium Studio: Ana T.

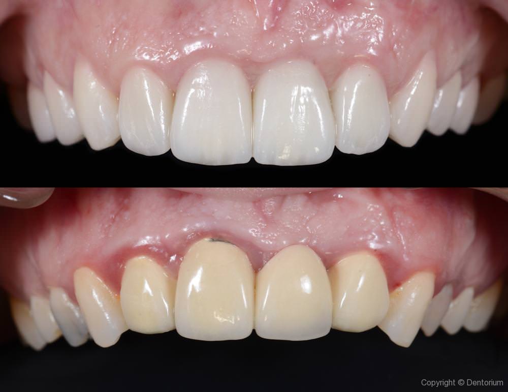
Complex functional – aesthetic rehabilitation

The case was planned with DSD – Digital Smile Design, wax up and mock up. (Video below.)

Final solution determined following therapy phases:

With Ana we have achieved balance in biology, function and aesthetics.

Video shows mock up before starting the treatment.

Case by: dr. Daniel Zgombic, dr. Tijana Brajković – Cindrić

Dental lab: DentalInPuls (Mauro Ahmić, Sandi Trkulja)

Related articles:

inspired by the beauty of nature