Complex case of aesthetic – prosthetic rehabilitation
You have made my life more beautiful, and I am grateful to have met you.
Milana
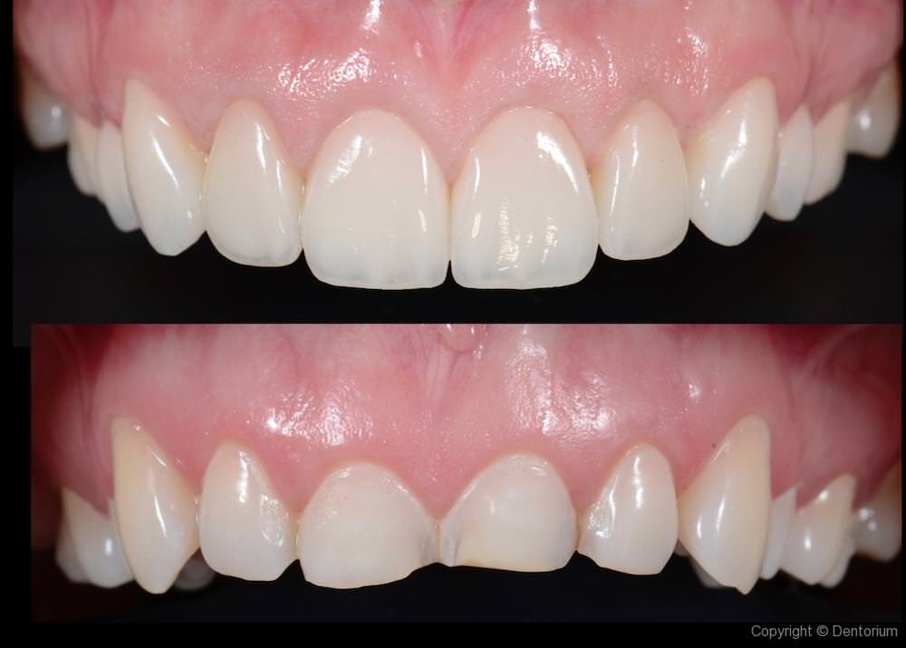
Due to strong bruxism, the teeth were completely worn out, thus affecting greatly function of teeth with TMJ (tempo mandibular jaw), and esthetics of the whole front area.
Work phases planned with DSD-Digital Smile Design (wax up + mock up, video below – before beginning of therapy).
Workflow included following phases:
Esthetic balance of the smile is achieved by lengthening the front and lateral teeth, and with gingiva symmetry. Also the result is more harmonious feeling of the whole face.
The patient is fully esthetically and functionally rehabilitated.
Case by: dr. Daniel Zgombic
Dental technician: DentalInPuls (Mauro Ahmić, Sandi Trkulja)