our patient Dražen

Patients – Dentorium Studio: Dražen

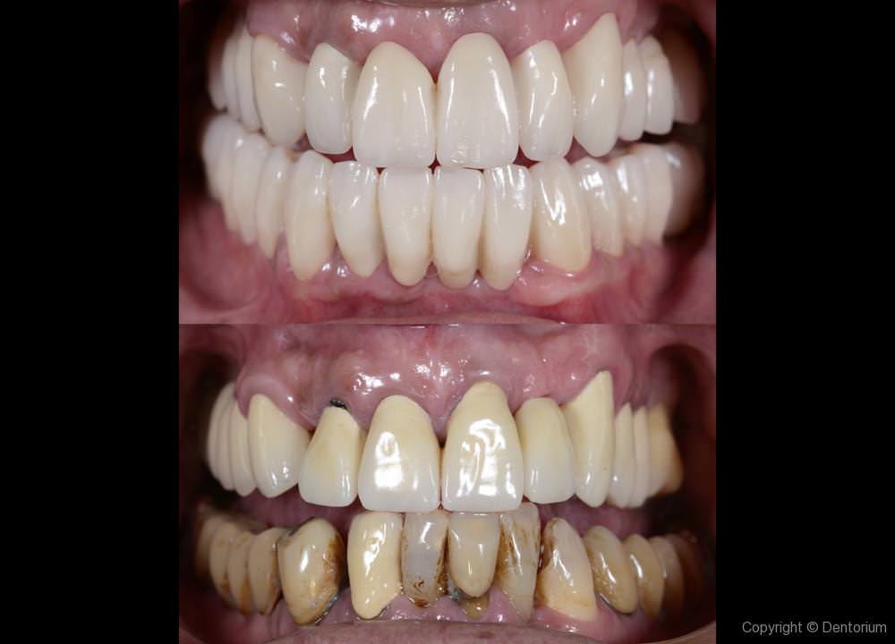
Complex full functional prosthetic rehabilitation

Case planned with DSD – Digital Smile Design and functional wax up.

The therapy included:

With final solution we achieved harmony between biology, function and aesthetics.

Case by: dr. Daniel Zgombic

Dental lab: Goran Turina (Dental lab Goran i Borko)

Related articles:

inspired by the beauty of nature