Complex aesthetic rehabilitation
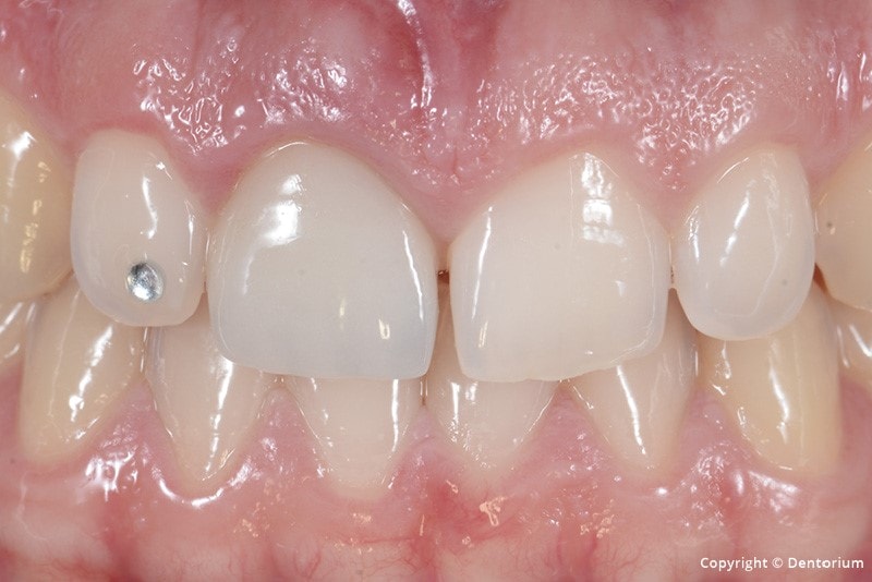
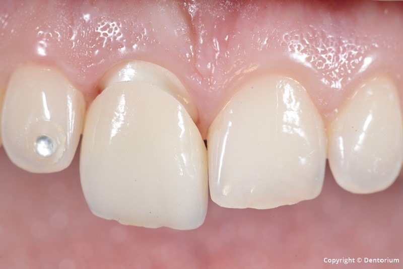
In this case the problem was vertical fracture of front tooth, which meant extraction of tooth. The goal of therapy was conservation of hard and soft tissue in aestehtic zone, with complete naturallness of the future aestehtic result.
Treatment plan was guided and planned with DSD - Digital Smile Design.
Workflow:
The loss of teeth in front area, aesthetic zone, is always a challenge and demands precise and predictable treatment plan because the soft tissue is a limited resource. With guided therapy we want to minimalise the effect of trauma, and with the future aesthetic result achieve natural and harmonious impression of a smile.
Case by: Daniel Zgombić dr. dent. med., Tijana Brajković dr. dent. med.
Dental lab: DentalInPuls (Mauro Ahmić, Sandi Trkulja)